
Chiropractic BioPhysics (CBP®) in Laurel, MD
Low back pain is one of the most distressing health concerns that Americans face. Our CBP Postural Analysis Spine Correction means a shorter course of treatment for pain relief (almost half the time) and amazing results!
This is a unique form of chiropractic which involves treatment to reduce scar tissue in your muscles and ligaments in conjunction with remodeling your spine to it’s appropriate alignment and strengthening your muscles to support your improved posture. Our technique works and it is proven!
CBP® for Faster Pain Relief than Traditional Chiropractic Care!
We are doing spinal structural correction in a way that not many others are trained in the country to do! Patients experience back pain relief in phase one, correction of the spinal structure in phase two and strengthening and stabilizing for long term correction in phase three. Chiropractic BioPhysics, Muscle Restoration and Trigger Point Therapy are used in coordination with one another in a sequence that gives proven results.
70% have significant improvement after 12 visits (one month)
90% have significant improvement after 24 visits (two months)
We’re among a select few in the Washington Metropolitan area specializing in CBP care.
Chiropractic BioPhysics® or CBP®, is a highly-advanced, scientific, and proven chiropractic technique which corrects and restores your spine back to alignment. Unlike traditional chiropractic, CBP® goes beyond temporary pain relief and focuses on long-term and permanent results through addressing and correcting the real source of pain.
Chiropractic BioPhysics® combines biology, physiology, physics, geometry, and anatomy to identify the causes of your pain, discomfort, loss of mobility, and altered health. That means your diagnosis – and treatment – will be based on sound scientific and chiropractic principles.
What to Expect from a CBP® Chiropractor?
A CBP® chiropractors will start with a scientifically-based examination of your posture, spinal alignment, and function – often involving x-rays as a way to pinpoint the root cause of your spinal misalignment. Once the source is identified, they will create a carefully planned series of adjustments, exercises, and a spinal remodeling program to put you on a pain-free road to better health. Treatments are safe, targeted, therapeutic, and painless.
How is CBP Different from Other Techniques?
Unlike regular chiropractic care that mainly focuses on immediate pain relief, Chiropractic BioPhysics goes one step further to also correct the source of the problem. That’s why most patients under our care not only report relief from pain and discomfort, but as their posture begins to align, they notice other conditions clearing up as well.
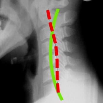
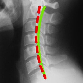
BEFORE

AFTER

Spinal Alignment
Correct posture is at the core of the Chiropractic BioPhysics® method of treatment. The curves in your spine act as levers, shock absorbers, and resistance to gravity; they also protect and reduce forces acting on the spinal cord and nerve tissues. But, gravity, age, poor posture, improper physical activity, injury, and disease can all play a role in the misalignment of your spinal curves and, as a result, your entire body.
CBP® Can Help Restore That Balance
Following a scientific analysis of your posture and the curvature of your spine through x-ray and postural analysis software, a treatment plan is developed. Based on your deficits, spinal condition, and other findings, appropriate treatment will be prescribed to restore proper alignment, relieve pain, and improve function.
Your treatment plan may include a variety of tested and proven CBP® techniques, including spinal adjustments, exercises, and traction or what is termed “Spinal Remodeling.”
Restoring Your Health
Your spine houses your nervous system – the most delicate and important organ system – responsible for your day to day bodily functions. From your immune, cardiovascular, and digestive system, to sexual function and mobility – your nerves are responsible for sending vital information and energy from the brain to your organs through your spine.
Just as a kink in a garden hose can dramatically reduce the flow of water coming from the tap – a spine out of alignment dramatically reduces vital information going from your brain to vital organs. Thus, your organs are much more susceptible to malfunction and disease.
It’s not just coincidence that people most with poor posture tend to lack energy and suffer from fatigue, experience random aches and pains, as well as suffer from headaches / migraines, allergies, ear infection, sleeping disorders, gastrointestinal issues (such as GERD), asthma, high blood pressure, etc.
As a CBP® patient, you will notice not only a dramatic decrease in pain in discomfort, but more importantly a sense of restored health and energy.
CBP Postural Analysis Spine Correction can be your answer to back pain relief without having to undergo invasive surgery. Our chiropractic care is a safe and highly effective solution to your back pain. In many ways, it is superior to the more conventional approaches in modern medicine.
